親知らずを抜いたが、その後腫れて大変だった」なんて話を、どなたでも一度ぐらいは聞いたことがあると思います。「自分で経験した!」という方もいるでしょう。
確かに親知らずの抜歯は他の歯と比べて困難な場合が多く、術後の腫れや痛みが出やすいです。なぜ親知らずは抜かなくてはいけないことが多いか、その理由をお話しします。
「親知らず」とは
「親知らず」は正式には「第三大臼歯」といい、大人になってから生えてくるため「親が知らない」のでこの名前がつきました。知恵がついてから生えるので別名「智歯」ともいいます。現代人は歯が退化する傾向があり、上下左右の「親知らず」のどれかが欠損している場合も多いです。
現代人の「あご」
現代人は加工された食物を摂取し、硬い食物を食べる機会が減っているので、昔の人(例えば江戸時代)と比較して、顎の骨が華奢に、小さくなっています。ところが歯の大きさは余り変化していません(むしろ大きくなっているという調査結果もあります)。そうすると永久歯で最後に生えてくる「親知らず」は生える場所が十分に確保できないので斜めに生えてきたり、歯茎の下に半分埋もれていたりすることが多くなってきています。このような中途半端にお口の中に顔を出した「親知らず」が色々悪さをします。
親知らずいろいろ
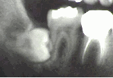
生えかたの違う親知らずのレントゲン写真を幾つかご覧に入れます。

ほぼ正常に生えている親知らず(一番左の歯)。これならばあまり問題は生じません。「第三大臼歯」として立派に機能します。通常のブラッシングをしていれば虫歯にもなりにくく、前の歯の状況次第ではブリッジに使う場合もあるので安易に抜歯はしません。

親知らずが生えるスペースが不足すると、斜めに生えて半分しか顔を出せません(半埋伏といいます)。これでは歯と歯茎の間に歯垢が蓄積して細菌感染し炎症をおこしやすい状態で、「智歯周囲炎」とよばれています。また虫歯にもなりやすく、中等度以上の虫歯では抜歯以外に治療法はありません。抜歯するには歯の切断を要する場合が多いです。

あごの骨の中に完全に埋まっている状態。しかも水平に倒れています(水平埋伏)。この状態で、「智歯周囲炎」をおこした場合には歯ぐきを切開し親知らずを覆っている骨を一部取り除いて抜歯する必要があります。やや困難な処置になります。抜歯後に腫れや痛みが出る場合が多いのはこのタイプです。
炎症を度々おこしたり深い虫歯になった親知らずは、応急処置が済んだら抜歯後に多少腫れや痛みが出ても大丈夫な時期(お仕事や学校の都合をつけられるとき)を見計らって抜歯しておいたほうが無難です。
一般の歯科医院では、大学病院などの口腔外科(口の中の外科的処置を行う歯科の専門分野)と連絡を取り合って抜歯をうけに行っていただく場合もあります。
当院では、ほぼ全ての親知らずの抜歯を自院で行っています。